Y Logo
Բացառիկ վիրահատություն Աստղիկ ԲԿ-ում. Ցուկերկանդլի ուռուցք

Բացառիկ վիրահատություն Աստղիկ ԲԿ-ում. Ցուկերկանդլի ուռուցք

Աստղիկ Բժշկական կենտրոնում իրականացվել է ցուկերկանդլի ուռուցքի բացառիկ վիրահատություն կենտրոնի Էնդոկրին վիրաբուժության ծառայության ղեկավար Արմեն Վարժապետյանի կողմից:

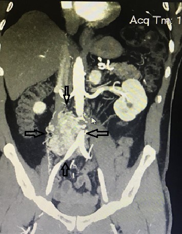
Ֆեոքրոմոցիտոման հանդիսանում է հորմոնակտիվ ուռուցք, որը բնութագրվում է չափազանց մեծ քանակությամբ ադրենալինի և նոր ադրենալինի արտադրությամբ, ուղեկցվում է արտահայտված և դեղորայքային բուժման չենթարկվող բարձր զարկերակային ճնշումով, նյարդային համակարգի, աղե-ստամոքսային ուղու, էնդոկրին և արյան համակարգերի տարբեր խանգարումներով: Այս ուռուցքները հիմնականում(85%) զարգանում են մակերիկամներում, սակայն քիչ չեն նաև արտաերիկամային տեղակայումները, որոնցից թե բուժման, թե ախտորոշման տեսակետից առավել բարդ են այսպես կոչված՝ Ցուկերկանդլի ուռուցքները: Վերջիններս ունեն արտաորովայնամզային տեղակայություն, ուղեկցում են, կիպ հպվում են, երբեմն էլ ներ են աճում աորտային և ստորին սիներակին: Այս ուռուցքի հեռացումը կրում է վտանգներ ոչ միայն վիրահատության տեխնիկական բարդությունների, այլև վիրահատության ժամանակ և վիրահատությունից հետո զարկերակային ճնշման կտրուկ տատանումների հետևանքով՝ հնարավոր մահացու ելքի պատճառով:

Կլինիկական դեպք

Հիվանդը /62տ./ դիմել է «Աստղիկ» ԲԿ՝ գանգատվելով բարձր զարկերակային ճնշումից(220/120-սահմաններում), որը վերջին 6 տարիների ընթացքում ընդհանրապես չի ենթարկվել դեղորայքային բուժման: Հիվանդի մոտ նաև առկա էր շաքարային դիաբետ, և միայն ինսուլինի բարձր չափաբաժինների ներարկումները հնարավորություն էին տալիս կարգավորել գլյուկոզայի մակարդակն արյան մեջ: Բժշկական կենտրոնում կատարված կոնտրաստային ԿՏ-անգիոգրաֆիան հայտնաբերեց վերը նկարագրված Ցուկերկանդլի ուռուցքը: Վերջինիս ախտորոշումը հաստատվեց համապատասխան հորմոնային անալիզներով: Փոխանցում է Աստղիկ ԲԿ-ի կայքը:

Համապատասխան մասնագիտացված նախավիրահատական պատրաստումից հետո կատարվել է ուռուցքի հեռացում՝ լապարոտոմիկ եղանակով Էնդոկրին վիրաբուժության ծառայության ղեկավար Արմեն Վարժապետյանի կողմից: Հետվիրահատական շրջանում զարկերակային ճնշումը և գլյուկոզայի մակարդակն արյան մեջ նորմալացել են համապատասխանորեն՝ առանց հակաճնշումային դեղամիջոցների և ինսուլինի:

Ad 1 Ad 2 Ad 3 Ad 4